I. 추간판탈출증이란
■ 병태생리
척추체 사이 존재하는 disc(추간판)은 자체 혈관이 없고, 척추체와 추간판 사이 모세혈관으로부터 혈류를 공급받음
여러 이유로 인해 해당 모세혈관의 혈행이 악화와 추간판 연골조직의 손상으로 추간판 내부 섬유륜이 수직 압박력을 견디지 못하고 경막 또는 신경근을 압박함
신경근의 물리적 압박과 추간판내에서 유출된 물질과 화학적 반응과 염증으로 인해 요통 및 신경증상이 발생하게 됨.
Risk : 고령, 비만, 흡연, 유전적 소인, 직업력
II. 추간판 탈출증의 임상양상
1) 요통
주로 무거운 물건 들기, 낙상, 허리 꼬임 trigger 후 요통의 발생
천장관절, 서혜부 둔부로 방사되는 양상
작열감, 날카로운 양상
악화인자 : 앉기, 허리 굽힘, 복압상승
완화인자 : 고관절굽힘, 슬관절굽힘
2) 신경증상
감각이상 또는 저림
근력저하 : 압박되는 신경절이 담당하는 부분의 저하
배뇨장애, 배변장애, 성기능장애 : Cauda equina syndrome : 응급수술 필요
※ neurologic level

| 운동저하 | 감각이상 | DTR | |
| L4 nerve (요추 3/4) | ankle dorsiflexion (tibialis anterior muscle) |
허벅지 외측 무릎 앞 종아리, 발 내측 |
patella tendon 반사감소 |
| L5 nerve (요추 4/5) | foot and great toe dorsiflexion | 종아리 외측 발등 |
|
| S1 nerve (요추 5/ 천추1) | ankle plantarflexion | 종아리뒤 발바닥 발외측 |
achilles tendon 반사감소 |
■ 추간판 탈출증의 신체진찰소견
1) Straight let raising test (SLR, 하지 직거상검사)
- 누워서 다리를 편채로 들어 올릴 때 30-70도 에서 통증
- L5, S1 압박 시 특히 양성 소견
2) Reverse leg raising test (대퇴신경 긴장검사)
- 엎드려 무릎을 90도 굽힌 채로 허벅지를 들어 올릴 때 통증 발생
- L3, L4 압박 시 특히 양성 소견

III. 추간판 탈출증의 검사소견
■ x-ray
디스크가 간격이 좁다. end plate 경화소견, 골극 자라남.
이상소견이 없는 경우가 많음
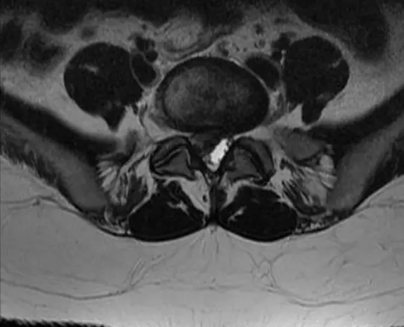
■ MRI (가장 정확한 검사)


추간판의 탈출을 확인할 수 있으며, cauda equina의 압박 소견도 확인할수 있음
IV. 추간판 탈출증의 치료
■ 보존적 치료
대다수 시간이 지날수록 수핵의 크기가 감소하고 염증반응이 소실되어 자연경과가 좋다
절대 안정, nsaid, 근육이완제
등통이 소실된 후 보행이나 운동으로 근위축과 골다공증을 방지해야 함
■ 수술적 치료
전체의 10% 이하에서만 필요함
- 보존적 치료에도 반응이 없는 경우 (6주 이상)
- 하지마비가 호전되지 않거나 악화됨
- cauda equina syndrome이 의심되는 경우 (배뇨장애, 성기능장애, 극심한 통증) > 응급수술
경피적 추간판 제거술 : 내시경/관절경하 수핵제거술
관혈적 추간판 제거술
척추 유합술 (심한 퇴행성 변화 또는 척추전위증의 동반 시 시행)
'근골격' 카테고리의 다른 글
| 척추관 협착증(spinal stenosis)의 증상 진단 치료 (0) | 2025.10.14 |
|---|---|
| 퇴행성 회전근개 질환의 접근과 치료 | NEJM 2024;391:2027-2034 (0) | 2025.03.21 |
| 골관절염(Osteoarthritis): 정의, 병태생리, 양상, 치료법 가이드 (0) | 2025.03.09 |
| 골다공증(Osteoporosis)와 골감소증(Osteopenia)의 원인, 진단 | DXA 해석 (2) | 2025.01.14 |
| 정상 뼈의 대사(bone metabolism) | 골밀도의 결정 | 최대골량(peak bone mass) (0) | 2025.01.13 |